2023.05.1817:18
矯正1ヶ月目( •︠-•︡ )
なんと早くも矯正開始から1ヶ月!!
今日は歯医者に行ってきてまた一つ段階が進みました!
まさに大工事だった( •︠-•︡ )

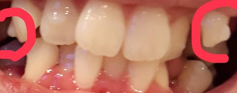
この白いやつを付けに行ってきたわけなんですが
こやつはアタッチメントさんです
歯を動かすために力、圧をかけてくれるお助けアイテム的なヤツ
これ取れやすいらしいから一定以上取れたら連絡してといわれたよー
これがさギュイーン系の機械で最後形整えるからさその音が骨にきて頭全体に鳴り響くの
頭の中で工事されてるみたいだった( •︠-•︡ )

次の来院までのマウスピースをうけとってきた
なくしたら大変なのでマジで保管気おつけないと
気にしてたこと聞いてきたよ
『強く嚙み締めてるかもしれなくてトレーに影響でてないか』
『歯みがけてるか』
どっちも大丈夫だったので安心
アタッチメント付けたから前よりは歯磨きづらいかもらしいので頑張る
アタッチメント付けるときに洗浄してくれてきれいになってうれしかった( •︠-•︡ )
けど抜歯の時より疲れたかも
痛みより機械の音と口が小さいみたいで普通より無理やり口こじ開けないといけないから
そうゆうのがストレスというか心労になってたみたいでとてもへとへと笑
さすがに疲れたーという気持ち

アタッチメントがつくとついてない時より矯正してるのがわかりやすくはなるけど
こう見るとあんまそんなことないか( ´・֊・` )
一個困ってるのはマウスピースの厚み+アタッチメントででた厚みにより
口閉じてるとき若干厚み出てるからちょっとかわいくないなって所( ・ᴗ・ )
あと気抜くと口閉じれない笑 厚みめ しゃーなし
いちおう終わったマウスピースも取ってあるのでもう少し歯が動いたら比較してみよーっと
( •︠-•︡ )顎も疲れてるいただるいね
あと合計5年と11ヶ月
ちょっぴり思ったのはネガティブでもなんでもなくシンプルに
元々歯並びきれいだったらこの痛みも時間も費用もないんだなぁっと
気にしなきゃいいかもだけど私は写真に残るしみんなの前に出てるような活動をしてるし
無意識にやぱ小さいころから気にしてたから( •︠-•︡ )
矯正できてとてもうれしいし楽しみなのは大前提で今日ふと思った
そうゆうことっていっぱいあるよなぁと
思う側であり思われる側でもあるだろうから頑張ろっと( •︠-•︡ )!!!
( ⋅֊⋅ )و( ⋅֊⋅ )و( ⋅֊⋅ )و( ⋅֊⋅ )و( ⋅֊⋅ )و( ⋅֊⋅ )و( ⋅֊⋅ )و( ⋅֊⋅ )و( ⋅֊⋅ )و( ⋅֊⋅ )و( ⋅֊⋅ )و( ⋅֊⋅ )و( ⋅֊⋅ )و( ⋅֊⋅ )و( ⋅֊⋅ )و( ⋅֊⋅ )و( ⋅֊⋅ )و( ⋅֊⋅ )و( ⋅֊⋅ )
-
ʚ✞のびたん✞ɞ
2023.05.19
大工事お疲れ様!!
これでまた次のステージに移行して本格的に始まる感じだね
見た目はやっぱ気になっちゃうよね…
でもネガティブにならないっていいことだよ👍
先は長いけどこれからの変化を楽しんでいきましょう
ブログありがとネ😊1 -
フィル
2023.05.18
矯正開始から1ヶ月おめでとう!
がんばったね!
大工事おつかれさまでした。
ほんとそういうこといっぱいあるよね。
きっとこれからも経験を通じて色んなことを感じたり、気づいたり、見方が変わったりたくさんあると思う。
がんばろうね!
応援してます。
いつもありがとう!1 -
ぐすたふ
2023.05.18
お疲れ様~大工事だったね!!
ばんちゃんはお口小さいから大口広げられるのは特につらいね(;;)
僕も歯医者平気な人だけどあの骨に響くのは気持ち悪い(((゜o゜)))
前の時は生で見ても全然わからないほどだったけど、今度のはどうなのかな?
でもそれでもきっとばんちゃんは可愛いよ♥(^_-)-☆
早く確認したいな~(笑)
まだまだ先は長いけどがんばろうね♪
1 -
キクチワワ
2023.05.18
八重歯でかわいいねって位に見てましたけど
本人からしたら大きな悩みってよくあるよね
頑張った先にはいいことしか待ってません😊1 -
じゅんぺい41
2023.05.18
ギュイーンおつかれさま
ちょっとずつ変化があるといいですね
まだ長いけどフレフレばんちゃん(^^)1 -
ほりがね
2023.05.18
お疲れ様!
気にしていた事、クリアになって良かったね。
後、治療の時自分も思うけど、歯に穴開ける削りとかより、磨いたり調整する時のが、響いたりするよね😅1 -
SS
2023.05.18
5年と11ヶ月長い!治療とはいえ、これを乗り換えたら結構な胆力つくかも。
自分も歯科検診とか行ってた時期あったけど、面倒でやめちゃうんだよね…。
歯列矯正を途中でやめたらどうなるか分からないけど、根気よく頑張って!
差支えなければ、会う時に実際どんな感じか見せてね(^O^)1 -
★SSD★
2023.05.18
お疲れ様です!
肉体的にも精神的にも辛い治療がありつつも、
ばんちゃんが矯正の過程を楽しんでいるのが伝わってきました。
アタッチメントをつけたことで、引っ込んでいる歯をマウスピースが前に押し出すということでいいのかな?
とすると、今まで以上に歯が動きそうだね!
「思う側であり思われる側」っていい言葉!
「僕と支えてくれる皆さんとの関係が、ずっと“フィフティ・フィフティ”であってほしい」という郷ひろみのメッセージを思い出しました(^-^)1

リラ
2023.05.19
今日もお疲れ様でした 😀
もう一ヶ月が過ぎたなんて驚きました
病院自体がそうですが、歯科は特にそうだと思います
一度ずつ歯科検診を受けに行くたびに疲れて怖いです
矯正はしたことがないけどばんちゃんのブログを見ながらすごい時間と努力が必要な作業だということを知りました
大変だと思いますが、肯定的な姿が素敵です
さすがばんちゃんです
残りの治療も元気出してください
遠くから応援しています :)